These cases are are to get you to starting thinking and ask yourself questions about the following clinical cases and then relate these to knee biomechanics and arthroplasty.

We are joined for this webinar by:

We will explore the biomechanics of total knee replacement and Jehangir Mahaluxmivala will discuss posterior stabilised and cruciate retaining arthroplasty, along with approach and exposure.

Satish Kutty will cover modern TKR design, factors to help avoid a less than satisfactory outcome, including offset, sizing, single radius knee etc.

Sebastian Dawson-Bowling will explore balancing and alignment in arthroplasty from basic science, through to practical guidance, tips and tricks.

Register now

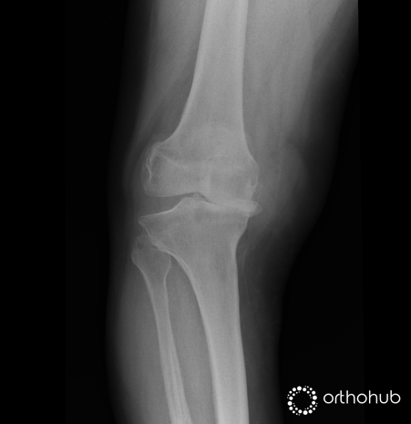
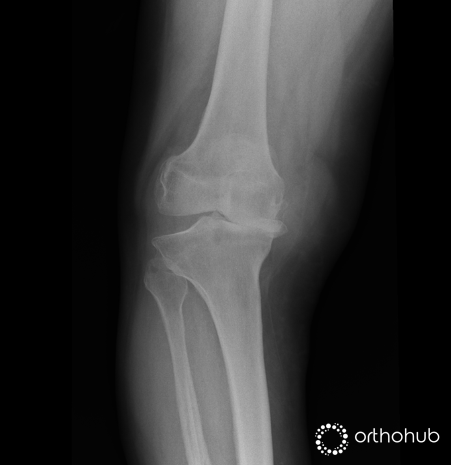
Case 1

77 year old lady in severe pain in her knee. She had a previous open lateral meniscectomy at age 20, and a further open procedure for 'problems with her knee cap' 30 years ago.

On examination she has a clinical valgus deformity, and an elevated BMI.

There are no contraindications to joint arthroplasty.

AP and Lateral radiographs

Would you use a cruciate retaining or a posterior stabilised knee replacement, or does it not matter?

View Results

Loading ... Loading ...

What approach would you use

View Results

Loading ... Loading ...

Would you anticipate any problems with exposure?

View Results

Loading ... Loading ...

Drop any thoughts into the comments section.

If so, which 3 fundamental problems will you identify as risk factors in your exposure and approach in this case given the history?

Is patella tracking likely to be an issue post implantation?

View Results

Loading ... Loading ...

If so how can your approach help in preventing that problem with patella mal-tracking?

In your planning would you anticipate the use of a stem, and where?

View Results

Loading ... Loading ...

Case 2

The radiographs are of a 62-year-old male, otherwise fit and well, who presents with worsening pain and stiffness in the joint. This is now increasingly limiting his day-to-day activities; including both his keen hobby of golf, and his work as a train conductor.

He reports having always ‘been a little bow-legged’ but was pain free until about 5 years ago. Physiotherapy and analgesia have failed to improve his symptoms. He takes no regular medication.

Clinical examination demonstrates pain and crepitus through the arc of motion, with marked laxity on varus stressing. The medial soft tissues are tight, and the patella tends to track medially. He is keen on a definitive surgical solution.

Which would be your favoured implant choice for this patient?

View Results

Loading ... Loading ...

During trial implantation the knee is tight medially in both flexion and extension. Assume that a medial parapatellar approach has been undertaken.

What would be your choice of sequential soft tissue releases?

View Results

Loading ... Loading ...

Following correction of this medial tightness, repeat trial demonstrates that the knee is now loose in both flexion and extension. 

What is your approach to correction of this?

View Results

Loading ... Loading ...

Would you anticipate the need for augments?

View Results

Loading ... Loading ...

Is partellofemoral tracking likely to be an issue in this case?

View Results

Loading ... Loading ...

Case 3

This is a 68 year old man has significant pain in his knee and has failed conservative treatment. He has no significant co-morbities. 

On examination there is varus deformity with fixed flexion. Neurovascular examination is normal.

Questions to consider

Planning- What problems do you foresee and how are you going to manage  it?

Exposure – anything different/ special required. 

Equipment- What sort of equipment (type of implant) would you need and be prepared for?

Balancing- the Knee-- Any challenges? 

Please do post your thoughts about these cases in the comments section below.

For the answers to these questions and much more join our webinar this week, Wednesday at 8pm BST.